Why does my brain go on autopilot when driving?
You’ll find that driving without your brain in gear this is a very common occurrence.
But, how does it happen? Why can we, seemingly, drive safely, whilst having no conscious recollection of driving or navigating our way to our destination?
This phenomenon is so widespread that scientists have taken a look at our brains to find out how we can perform this trick and whether we should be worried that we’re driving on autopilot.

When you think about what’s required to drive a car safely, you begin to wonder how any of us manage it!
We're doing so many different things at once, both physically; using our feet to operate the right foot pedals at the right time, in the right way; using our hands to change gear, into the right gear, at the right time, whilst using your foot to depress the clutch...phew!
And mentally we’re scanning the road ahead, looking out for pedestrians who may walk off the pavement, making decisions about the gear we need to be in, whether we need to slow down or speed up, do we need windscreen wipers on, the window defroster and on and on and on, a myriad of decision-making, so how can it be possible that we can drive without any awareness of what we’re doing and yet still be safe?
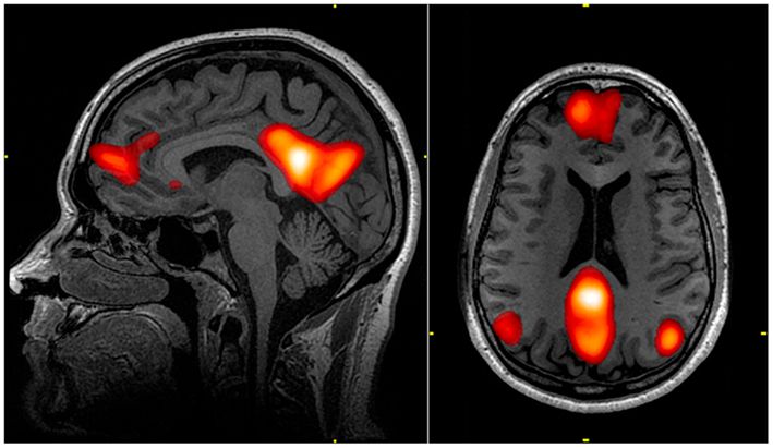
It’s down to something in our brains called the Default Mode Network or DMN.
Scientific investigation has now shown that our DMN takes over when we are undertaking familiar activities such as tying our shoelaces or, playing a musical instrument or, as in this case, driving a familiar route.
Research showed that once our brains are familiar with an activity they ‘switch off’ and go into ‘autopilot mode’ which allows us to undertake tasks without actually thinking about them and even more strangely, it showed that the brain seemed to perform the tasks better and with more accuracy when in DMN than when in ‘switched on’ mode.
In everyday life we’re probably in DMN much more than we realise; cooking, washing the dishes, taking a shower or mowing the lawn, we undertake these familiar tasks mainly whilst in this automatic mode.

Think about your daily commute to work; if you were 100% fully focused on every aspect of driving your car. it might well be that you’d find it more difficult.
If you thought about every small movement of your hands, your feet and your eyes, actually gave real thought, ‘I’m going faster, so now I need to change up a gear, I need to depress the clutch, use my left hand to move the gear lever into fifth gear, release the clutch, turn the wheel slightly as the road is curving’ of course, you are taking all this in, but not on a conscious level and that’s how you suddenly find yourself at a familiar set of traffic lights and wonder just how on earth you got there!
A well-known concert pianist once commented that the very worst thing that could happen during a recital would be to suddenly think about the position of his fingers.
So, next time you have that startling ‘how did I get here’ feeling, you’ll know why!
